IMPLANTS
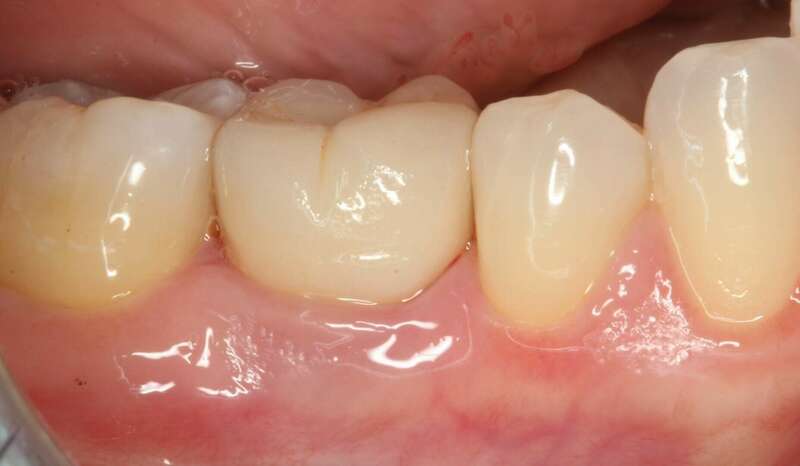
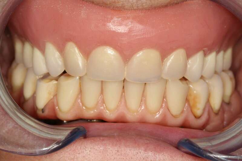
Implant prémolaire haut
38 RUE D'ADHEMAR DE LANTAGNAC - PLACE SAINT ROCH
06500
MENTON
| Lundi | 8h30 - 13h, 14h - 19h |
| Mardi | 8h30 - 13h, 14h - 18h |
| Mercredi | 8h30 - 13h |
| Jeudi | 8h30 - 13h, 14h - 18h |
| Vendredi | 8h30 - 13h, 14h - 18h |
| Samedi | Fermé |
| Dimanche | Fermé |
Vidéo en cours de lecture
